CUSABIO Tag/ Loading Control Antibodies include highly specific monoclonal and polyclonal antibodies.

Tag antibodies can be used for the detection and purification of multiple proteins with the same tag. When certain target proteins cannot be immunoprecipitated without specific antibodies, an epitope can be used to label the protein, and then select a tag antibody for this epitope so that the immunoprecipitation can be continued. With the rapid development of proteomics, the use of recombinant proteins has greatly increased in recent years. Recombinant hybrids contain an affinity tag such as GST, Myc, His, etc., which can be used to assist the purification of the target protein, which has been widely used.
CUSABIO tag antibodies are purified by antigen affinity, and they can specifically bind to the corresponding tag proteins, then identify and purify the target proteins as well. Some of our popular tag antibodies are listed as below for your reference.
| Target | Applications | Target | Applications |
|---|---|---|---|
| 6*His | ELISA, WB | GFP | ELISA,WB,IP |
| c-MYC | ELISA, WB, IF, IP | GST | ELISA,WB |
| E-Tag | ELISA, WB, IP | HA-Tag | ELISA, WB, IF, FC, IP |
| Flag Tag | ELISA, WB, IP | Sumo tag | ELISA,WB |
Loading control antibodies are used to assesse western blotting efficiencies and compare the amounts of protein loaded in each well across a gel so that you can determine equal loading as well as the quality of the samples. It is important to use loading controls to determine protein expression and interpret Western blot results. Some common loading control antibodies include Beta Actin, GAPDH, Histone H3, Alpha Tubulin and Beta Tubulin, etc.
You cannot overemphasize the importance of loading control antibodies'quality. If the loading control is questionable, all of your results can be doubted. And CUSABIO is here to ease your worries. CUSABIO offers a wide selection of monoclonal loading control antibodies, including GAPDH, α-tubulin, and β-actin for several species. We also have some conjugated control antibodies, such as HRP- or biotin- conjugated control antibodies.
Here are the most hot-selling loading control antibodies.
| Target | Applications | Target | Applications |
|---|---|---|---|
| GAPDH | ELISA, WB, IHC, IP, IF, FC | TUBA1A | ELISA, WB, IHC, IF, FC, IP |
| Beta-Actin | ELISA | PCNA | ELISA |
The Features of CUSABIO Tag/Control Antibodies

Western Blot analysis of HA-Tag Monoclonal Antibody (CSB-MA000141M0m)

Western Blot analysis of E-Tag Monoclonal Antibody (CSB-MA000151M0m)

Western Blot analysis of GAPDH Monoclonal Antibody (CSB-MA000071M0m)
HA-Tag Monoclonal Antibody (CSB-MA000141M0m)

Positive WB detected in: 3 different overexpression lysates with HA tagged
All lanes: HA-Tag antibody at 1:1000

Overlay histogram showing 293F transfected cells stained with CSB-MA000141M0m (red line) at 1:100.

Immunoprecipitating HA-Tag in 293F transfected whole cell lysate.
Lane 1: Mouse control IgG (1µg); Lane 2: CSB-MA000141M0m (5µg) + 293F transfected whole cell lysate (500µg); Lane 3: 293F transfected whole cell lysate (20µg)

Immunofluorescence staining of 293F transfected cells with CSB-MA000141M0m at 1:100, counter-stained with DAPI.
GAPDH Monoclonal Antibody (CSB-MA000071M0m)

Positive WB detected in: Hela whole cell lysate, HepG2 whole cell lysate, Jurkat whole cell lysate, MCF-7 whole cell lysate
All lanes: GAPDH antibody at 1:2000

Immunoprecipitating GAPDH in Hela whole cell lysate. Lane 1: Mouse control IgG; Lane 2: CSB-MA000071M0m (3μl) + Hela whole cell lysate (500μg); Lane 3: Hela whole cell lysate (20μg)

Overlay histogram showing Hela cells stained with CSB-MA000141M0m (red line) at 1:200.

Immunofluorescence staining of Hela cells with CSB-MA000071M0m at 1:220, counter-stained with DAPI.

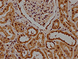
IHC image of CSB-MA000071M0m diluted at 1:100 and staining in paraffin-embedded human kidney tissue performed on a Leica BondTM system.
Here is the catalog of all Tag/Loading Control Antibodies Catalog.
What is a Tag Antibody? What are Tag Antibodies used for?
A tag, or an epitope tag, is an antigenic sequence such as a protein or a polyhistidine that is determinant for the binding of a special antibody, which determines the specificity of an antigen. The tag is usually added to a protein of interest by using genetic engineering, forming a fusion protein which is detected by a corresponding antibody. Antibodies that specially recognize and bind these tag epitopes are called epitope Tag antibodies or Tag antibodies. When no specific antibodies are available in the detection of protein of interest, tag antibodiees are alternative and needed. Tag antibodies are used for protein isolation and purification, the tracking of protein expression and localization, protein-protein interactions. Some common experiments such as ELISA, western blotting, immunofluorescence and immunoprecipitation often use different tag antibodies. More details of tag antibodies, please read this article: Tag Antibodies, Your Good Partner in Protein Research.
What is a Loading Control Antibody? What are Loading Control Antibodies used for?
Control antibodies, as the name means, are series of internal control antibodies. They specific for a highly and constitutively expressed protein. Generally, control antibody can be divided into two groups, including isotype control antibodies and loading control antibodies. The best loading control antibody should be constantly and stably expressed in different tissues and under different physiological and pathological conditions. Housekeeping proteins are typically ideal candidates of loading control antibodies. Loading control antibodies are necessary to obtain accurate expression data in the western blotting. They are responsible for monitoring target proteins in the western blotting, confirming equal sample loading and gel-to-membrane transfer that causes more intense staining at the edge of the blot, and guarding against the "edge effect" in order to normalize results. Loading control antibodies can be also used to detect whether protein loading variation has occurred and may interpret observed variations in the target band(s).
So it is important to know How to select right Loading Control Antibodies for your WB.
Beta-Actin Monoclonal Antibody referenced in "Propionic acid produced by Cutibacterium acnes fermentation ameliorates ultraviolet B-induced melanin synthesis". Scientific reports, 2021
Flag Tag Monoclonal Antibody referenced in "Galectin-1-RNA interaction map reveals potential regulatory roles in angiogenesis". FEBS letters, 2021
GST Monoclonal Antibody referenced in "Ubiquitin-Conjugating Enzyme E2 E Inhibits the Accumulation of Rice Stripe Virus in Laodelphax striatellus (Fallén)". Viruses, 2020
GAPDH Monoclonal Antibody referenced in "Concurrent EPA and DHA Supplientation Impairs Brown Adipogenesis of C2C12 Cells". Frontiers in Genetics, 2020
His-Tag Monoclonal Antibody referenced in "Somatic SF3B1 hotspot mutation in prolactinomas". Nature Communications, 2020