Immunohistochemistry (IHC) is a powerful and widely used technology that applies the specific binding between an antibody and antigen to detect and localize specific antigens in cells and tissue, which is most commonly detected and examined by the light microscope.
CUSABIO currently offers a range of IHC validated antibodies that have been validated by clinicopathological samples with high specificity, high sensitivity, and accurate localization.
Note: The products provided by CUSABIO are for research purposes only and not intended for clinical diagnosis.
Click here to download the CUSABIO Immunohistochemistry (IHC) Antibody ebook

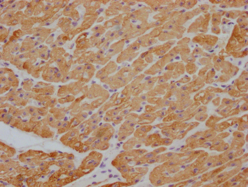
Human heart tissue
1:100

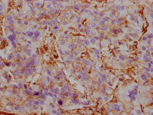
Human liver cancer
1:100

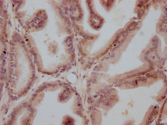
Human breast cancer
1:100

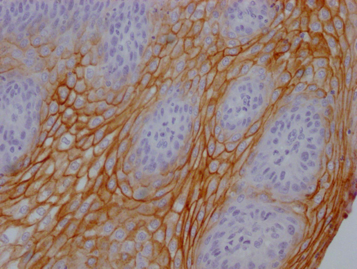
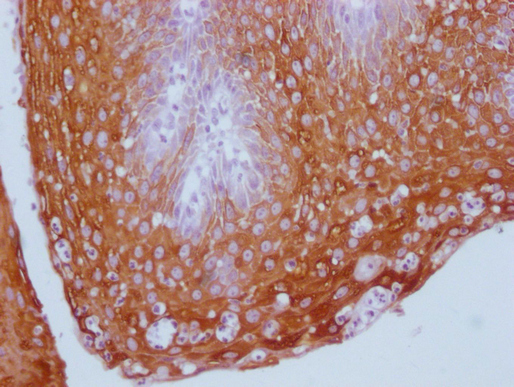
Human skin tissue
1:100
A: Each IHC antibody we provide is Validation was performed on human tissue paraffin sections confirmed by a pathologist, including normal tissues and samples with various path ologies (such as cancer). We not only verify its specificity (accurate signal localization) and sensitivity (signal strength), but also provide typical experimental images and detailed experimental conditions. Specific validation data can be found on each product's detail page.
A: Our product details page clearly indicates that it has been verified. Species and Tissue Types If your sample is not in the verified list, we recommend:
First, review relevant literature to confirm the cross-reactivity of the target in your sample.
Contact our technical support team, as we may have unpublished test data that we can provide for your reference.
Purchase small-sized trial packs to conduct preliminary experiments first.
A: The dilution ratio indicated is our Recommended optimal starting ratio Due to differences in the experimental system (antigen retrieval method, detection kit, instrument), we strongly recommend that you perform Pre-experimental Gradient Testing(For example: 1: 50, 1: 100, 1: 200). For specific information, please refer to the product manual.
A: Unopened freeze-dried powder or concentrate Store at -20°C or lower.Mother liquor after reconstitution It is recommended to aliquot and store at -20°C to avoid repeated freeze-thaw cycles. Working fluid(That is, the diluted antibody) It is recommended to prepare and use immediately. It can be stored short-term at 4°C, but long-term storage is not recommended to avoid a decrease in potency or contamination.
A: These are common issues in IHC, with possible causes and solutions including:
High context: Try reducing the primary antibody concentration, increasing the blocking time, and optimizing the washing steps.
Weak signal: Try increasing the primary antibody concentration, extending the primary antibody incubation time (overnight at 4°C is acceptable), and optimizing antigen retrieval conditions.
We provide detailed technical support guides. You are welcome to share specific experimental observations, and our technical team will offer one-on-one optimization suggestions.
A: Of course. We have a vast antibody library. Please contact our technical support via phone or online, providing your Target name and species information We will check the existing inventory for you or assess the feasibility of custom development.
A: This means that all our products are manufactured in accordance with Standards for Research Reagents Conduct research and development, production, and quality control. Not approved by the national drug regulatory authority for clinical in vitro diagnostic reagents. Therefore, they cannot be used for clinical purposes such as directly guiding disease diagnosis, treatment, or health condition assessment, and are limited to laboratory scientific research only.