Making good use of various tools in scientific research can greatly improve work efficiency and increase the possibility of obtaining the expected experimental results, even achieving twice the result with half the effort. An exosome kit is an excellent tool for exosome-associated research.
Exosomes are nanoscale vesicles (30-150 nm) secreted by almost all cells, with phospholipid bilayer structure, containing complex parent cells-deriving cargos including DNA, sRNA (mRNA, microRNA, and non-coding RNAs), proteins, lipids, and other substances. Exosome-carried cargo can reflect the status and molecular characteristics of parent cells. So isolating and extracting exosomes can help to study the functions and features of the parent cells and thus analyze diseases.

Recent studies have shown that exosomes act as a connection between cells that can transport proteins, lipids, and nucleic acid to the target cells and also as tools for disease diagnosis, as well as related clinical biomarkers. They play a role in various pathological physiological processes, such as blood vessel formation, antigen presentation, apoptosis, tissue repair, immune reaction and inflammation, tumor growth and metastasis, and so on. Exosomes can also be engineered as a drug transport system directed to diseased tissues or organs.
Obtaining high-purity and intact exosomes is an essential prerequisite for exosome research. Although there are multiple traditional methods for exosome isolation, low purity and yield are the major problems. CUSABIO offers Exosome Isolation Kits (affinity purification) that can rapidly and efficiently isolate intact and high-purity exosomes from the cell culture medium and body fluid, including cell culture supernatant, serum, plasma, breast milk, and urine.
CUSABIO Exosome isolation kits can be used in many downstream experiments, including Transmission electron microscope analysis, Nanoparticle tracking analysis, NanoFCM analysis, Western Blot, Fluorescence quantitative (qPCR), High-Throughput Sequencing, etc.
CUSABIO Exosome isolation kit provides a simple and reliable method to extract intact exosomes from the cell culture supernatant, serum, plasma, Breast Milk, urine, saliva, Yeast, Plant.
CD9 (CSB-MA004969A0m )
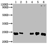
ENO1 (CSB-MA007670A0m )
Exosomes extracted from Hela cells
Exosomes extracted from serum
Exosomes extracted from plasma
Exosomes extracted from Breast Milk
Exosomes extracted from saliva
Exosomes extracted from urine
Exosomes extracted from pichia pastoris
Exosomes extracted from kluyveromyces lactis
CUSABIO Exosome Isolation Kits are available to isolate exosomes from the supernatant of various cells, such as A375, HEPG2, PC-3, Hela, U87, MG63, etc.
ENO1 (CSB-MA007670A0m)
GAPDH (CSB-MA000071M0m)
ENO1 (CSB-MA007670A0m)
GAPDH (CSB-MA000071M0m)
ENO1 (CSB-MA007670A0m)
GAPDH (CSB-MA000071M0m)
CD63 (CSB-MA004950A0m)
CD63 (CSB-MA004950A1m)
The exosomes extracted by CUSABIO kits are spherical or dish-shaped with uniform particles. And the vesicles are structurally intact. The following are a part of the results.




There are up to 3 x 1011 particles of purified exosomes per millilitre.

CUSABIO (CSB-EI0102, CSB-EI0110)
Particle size: 79.19 nm
Concentration: 3.08*1011 particles /mL
The exosomes extracted by CUSABIO Exosome Isolation Kit are superior to the other three well-known brand kits and comparable to ultracentrifugation.
No ultracentrifugation or phenol/chloroform step required. No equipment requirement. Just follow our protocol, you will get the exosomes soon.
CUSABIO has an efficient production and management system so that we can manufacture premium Exosome isolation kits at less cost and our customers can get better quotes.
In addition, our technical support team and complete after-sales service are always here to make sure you have no worries to use the exosome isolation kits.
| Code | Size | Sample Types | Instructions |
|---|---|---|---|
| CSB-EI0102 | 2T | Cell Culture Supernatant, Serum, Plasma, Breast Milk, Urine, Saliva | Download |
| CSB-EI0110 | 10T | Cell Culture Supernatant, Serum, Plasma, Breast Milk, Urine, Saliva | Download |
How to extract/ isolate exosome with CUSABIO Exosome Isolation Kits?
What are exosomes used for?
Exosomes contain cell-specific cargos of nucleic acids, proteins, lipids, and metabolites, which facilitate intercellular communication that contributes to a spectrum of biological processes in health and disease. Exosomes are related to immune responses, viral pathogenicity, chronic inflammation, neurodegenerative and cardiovascular diseases, even cancer progression. Additionally, exosomes are engineered to therapeutic nanocarriers for drug and gene delivery to the desired target, thus achieving the therapeutic control of many diseases.
How do exosomes work?
Upon exosome binding to target cells through ligand-receptor interactions, the contents of exosomes are internalized into recipient cells. These biological active molecules, such as proteins, lipids, and genetic materials, that mediate exosomal intercellular communication, ultimately reprograming the recipient cells.
Are exosomes good or bad?
Exosomes play a dual role in human health. They keep cell health by removing damaged and unwanted proteins and structures in the cells. And they are also involved in immunity and reproduction in healthy individuals. However, cancer-derived exosomes participate in tumor growth, progression, dissemination, angiogenesis, and metastasis by transferring their cargoes of cytokines, mRNAs, and miRNAs to targeted cells. Anti-cancer therapy resistance is also attributed to exosomes of tumor origin. Besides, some exosomes are implicated in the pathogenesis of the disease, including neurodegenerative and cardiovascular diseases.
What is exosome therapy?
Exosome therapy is a form of regenerating treatment in which therapeutic payloads are delivered through exosomes to the affected site to achieve therapeutic effects. Therapeutic exosomes are administered through injection or infusion into the treatment location, where they target and release their content of endogenous and modified bioactive molecules, such as miRNA and proteins into damaged cells or tissues, stimulating quicker healing and diminish inflammation.
Are exosomes better than stem cells?
Compared to stem cells, exosomes are simpler, safer, cheaper, more easily stored and transported. In terms of therapeutic effects, exosome shows very low immunogenicity and do not trigger complications. Additionally, exosomes can not replicate, do not deteriorate, and are not infected by viruses.