
Monoclonal antibodies (mAbs) are highly specific, laboratory-produced molecules designed to bind to unique targets on cells. They are derived from a single clone of cells, ensuring uniformity and specificity, making them essential tools in research and clinical diagnostics. These antibodies can precisely target and neutralize pathogens or mark cells for destruction, playing a pivotal role in treatments for diseases like cancer and autoimmune disorders.
CUSABIO offers an extensive collection of high-quality monoclonal antibodies, validated for various applications including ELISA, western blotting, immunohistochemistry, flow cytometry, etc. Our rigorous quality control and comprehensive data sheets ensure reliability and reproducibility in your experiments, supporting your research with trusted results.
Centering on antibodies, CUSABIO has established a series of technology platform and animal breeding base. CUSABIO monoclonal antibodies are produced by professionals who work on antibody research for many years. The mature technical route and reliable quality will save your time and energy. Every production step of CUSABIO monoclonal antibodies is screened and verified strictly so that the researchers have no doubts to use them.
Combined with CUSABIO kit development platform and diagnosis reagent R & D team, we can guarantee the application of monoclonal antibody products in the field of detection. So far, CUSABIO has produced plenty of monoclonal antibody materials up to diagnosis reagent level, which are praised by customers deeply.
You can find more details on the images of validated applications.

CD14 Monoclonal Antibody (CSB-MA004879A1m)

CD44 Monoclonal Antibody (CSB-MA004938A0m)

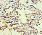
CD146 Monoclonal Antibody (CSB-MA013563A0m)

CD44 Monoclonal Antibody (CSB-MA004938A0m)

CD31 Monoclonal Antibody (CSB-MA017767A0m)

PD-L1 Monoclonal Antibody (CSB-MA878942A0m)

CD59 Monoclonal Antibody (CSB-MA0049471A0m)

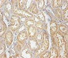
CST3 Monoclonal Antibody (CSB-MA061901A0m)
CUSABIO provides high-quality fluorescent labeled flow antibodies, unlabeled flow antibodies, fluorescent labeled secondary antibodies and isotype control antibodies to meet your different choices in flow cytometry experiments.
CUSABIO offers a range of IHC-validated antibodies that have been validated by clinicopathological samples with high specificity, high sensitivity, and accurate localization. Cost-effective. Great technical support.
CUSABIO Tag/Control Antibodies include highly specific monoclonal and polyclonal epitope tag antibodies to the most common tags used by researchers.
An Image-Based High-Throughput and High-Content Drug Screening Method Based on Microarray and Expansion Microscopy. ACS nano, 2023. (IF=18.027)
CUSABIO Antibody: TUBA1A Monoclonal Antibody,CSB-MA754656A0m
The metabolite alpha-ketobutyrate extends lifespan by promoting peroxisomal function in C. elegans. Nature communications, 2023. (IF=17.694)
CUSABIO Antibody: NFE2L2 Monoclonal Antibody,CSB-MA614961A0m
PD-L1 methylation restricts PD-L1/PD-1 interactions to control cancer immune surveillance. Science advances, 2023. (IF=14.957)
CUSABIO Antibody: PD-L1 Monoclonal Antibody, CSB-MA878942A0m
Stomatin modulates adipogenesis through the ERK pathway and regulates fatty acid uptake and lipid droplet growth. Nature communications, 2022. (IF=14.919)
CUSABIO Antibody: Flag Tag Monoclonal Antibody, CSB-MA000021M0m
SF3B1 inhibition disrupts malignancy and prolongs survival in glioblastoma patients through BCL2L1 splicing and mTOR/ß-catenin pathways imbalances. Journal of Experimental & Clinical Cancer Research, 2022. (IF=11.161)
CUSABIO Antibody: TP53 Monoclonal Antibody, CSB-MA0240771A0m
What are polyclonal antibodies?
A Monoclonal antibody, by contrast, comes from a single antibody producing B cell and therefore only binds with one unique epitope. Each individual antibody in a polyclonal mixture is technically a monoclonal antibody; however, this term generally refers to a process by which the actual B-cell is isolated and fused to an immortal hybridoma cell line so that large quantities of identical antibody can be generated.
Monoclonal antibodies vs Polyclonal antibodies
How to choose an antibody for your research? Monoclonal antibodies or polyconal antibodies, that is a problem. You need to consider their characteristics and your experiment requirements before making the decision.
The following are the advantages and disadvantages of monoclonal antibodies when they are compared with polyclonal antibodies.
Advantages:
Disadvantages: