
The E. coli expression system is regarded as the most commonly used, economical, and classical expression system because of its simple structure, clear genetic background, high yield of target protein, and its short culture period. In recent decades, E. coli expression system has also been developed and improved continuously, and been used intensively by scientific researchers and industrial users for a large number of recombinant protein expression. The system is mainly used for antigen preparation, ligand preparation, and expression of cytokines and bacteria (Staphylococcus aureus, Escherichia coli, etc.) proteins.
CUSABIO has extensive experience and be very professional in E. coli protein expression and purification. We can solve various difficult problems during the protein expression and purification process. From 2007 to 2017, we have successfully developed more than 4000 recombinant proteins expressed in E. coli, which contain hundreds of active proteins with high purity.
Please click here to view more active proteins: /catalog-37-1.html

Risk-free: We do NOT charge if we cannot deliver the protein.
Note: This risk-free custom protein service is only suitable for proteins within 800aa. We will charge according to different steps if you need to express proteins more than 800aa.
| Steps | Project | Process | Cusabio Features | Lead Time | |
|---|---|---|---|---|---|
| 1 | Plasmid construction![]() |
Codon optimization; gene synthesis | Multiple vectors optimization, More options for customers Optimize multiple vectors at the same time; Select the vector that has the highest yield, which can shorten lead time; |
5-8 business days | |
| Restriction digestion of PCR products; Ligation to expression vector, e.g. Pcold-SUMO, pGEX-4T-1, pET22b-JT, etc. | |||||
| Transform TOP10 E.coil competent cells | |||||
| Obtain the correct recombinant plasmid | |||||
| 2 | Transformation and strain screening![]() |
Transform the recombinant plasmid to host cells, e.g. BL21 (DE3), Rosetta-gami B (DE3) pLysS, C41 cells, culture overnight at 37℃ | Multi-conditions optimization, multi-hosts selection In the small test, the temperature and IPTG are optimized to obtain the most suitable culture conditions. Multiple hosts are transformed at the same time to select the host bacteria with the highest yield. |
2-3 business days | |
| Select single colony for small-scale induced expression; Detect protein expression by SDS-PAGE; Preserve the best colony. | |||||
| Optimize the expression conditions | |||||
| 3 | Target protein expression and purification![]() |
1-10 L large-scale expression | Multiple purification methods (optional) Explore different chromatographic conditions including ion exchange, hydrophobic and others by using AKTA, and then determine the optimal purification method. |
5-9 business days | |
| Protein purification | |||||
| 4 | Additional services (Optional)![]() |
Charge | Tag removal by restriction digestion | Flexible additional services Customers can flexibly choose from a variety of additional services to their specific needs, e.g. Endotoxin removal, Filter-sterilization, Tag removal, Lyophilization, etc. Some are complimentary, and some require additional charge. |
3 business days |
| Free | Filter-sterilization; Endotoxin removal; Lyophilization (Note: Lyophilization and Filter-sterilization can not be met simultaneously) | 2 business days | |||
| 5 | Quality Control![]() |
Testing of purity, concentration, etc. QC report is provided. | Detailed COA report Detailed product data sheet and COA are provided for each project. |
3-5 business days | |
| Total lead time | 15-25 business days | ||||
Case 1
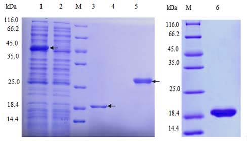
Characteristics: The protein is a fusion protein, and digested with PreScission protease overnight through the GST affinity chromatography column, subsequently with one-step purification to obtain protein without tag.

Case 2
Characteristics: After expression, the target protein was purified by nickel column affinity chromatography. The purity reached 90%, and the yield reached 20 mg/L

Case 3
Characteristics: Multiple tag options can be provided for one protein.
N-terminal 6xHis-SUMO-tagged

N-terminal GST-tagged

Case 4
Characteristics:The recombinant protein is functional active.

The Binding Activity of aqpZ with ytfE
Activity :
Characteristic expression systems
pET22b-JT plasmid + Rosetta-gami B (DE3) pLysS host bacteria Low temperature expression system

1.
Carry a T7 strong promoter; Contain PelB signal peptide; Low temperature induced secretory expression, which is conducive to correct protein folding and enhance protein solubility.
2.
Seamless cloning, no restriction enzyme needed.
3.
Compared with conventional 6xHis tag, the N-terminal 10xHis tag has a stronger binding ability in IMAC. Meanwhile the thrombin site makes it easy to remove the tag.
4.
The C-terminal MYC-tag can be used for WB detection, and it has stronger sensitivity compared with His-tag.
5.
Amp resistance screening.
pCold-SUMO plasmid + Rosetta-gami B(DE3)pLysS host bacteria low temperature expression system

1.
Carry cspA strong promoter; Contain SUMO fusion protein; possessing a strong ability to promote expression.
2.
Seamless cloning, no restriction enzyme needed.
3.
Compared with conventional 6xHis tag, the N-terminal 10xHis tag has a stronger binding ability in IMAC. Meanwhile the thrombin site makes it easy to remove the tag.
4.
The C-terminal MYC-tag can be used for WB detection, and it has stronger sensitivity compared with His-tag.
5.
Amp resistance screening.
Specialized CRO Services